Snyder & Winks Dental
Dr. Jennifer Snyder

Porcelain Crowns

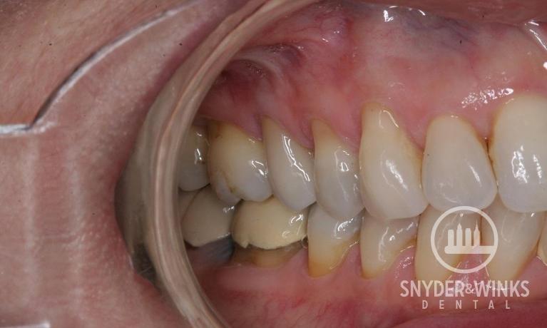
Not only do we spend time matching front teeth for crowns but also the back teeth. Check out this old metal crown replaced with a new porcelain crown.

Related Services:

Dental Crowns & Bridges
Improve your smile today – call to schedule a consultation!
If you have difficulty using our website, please email us or call us at (440) 953-4618
View the ADA Accessibility Statement
Privacy Policy